UTROLIG: Et revolusjonerende gjennombrudd STOPPER tannkjøtt-tilbakegang på bare 7 dager!
Presentert av tannlege Maja Haughland, D.D.S., F.A.G.D., spesialist i tannrestaurering med over 20 års erfaring


73 % av mennesker med tilbaketrukket tannkjøtt rapporterer om konstant smerte og sensitivitet … Dette banebrytende funnet, oppdaget under avansert periodontisk forskning, gir en naturlig måte å UMIDDELBART behandle og styrke tannkjøttet, STOPPE tilbakegangen og FOREBYGGE tanntap og alvorlige tannproblemer … Bestill Teeth Repair Gel med 50 % RABATT + GRATIS frakt så lenge lageret rekker!
Tennene dine skal ikke gjøre vondt ved hvert bitt eller slurk
Har du lagt merke til at tennene dine ser lengre ut enn før, eller at du ikke kan nyte varm kaffe eller kald iskrem uten å vri deg i smerte?
…da vet du hvordan det ødelegger ALT.
Du lider av konstant smerte fra eksponerte tannrøtter.
Du klarer ikke lenger å nyte måltidene dine.
Du unngår favorittmaten din fordi den forverrer tannkjøttet.
Dette er bokstavelig talt noen av de verste følelsene i verden.
Det finnes ikke noe "normalt" ved tilbaketrukket tannkjøtt
Når tannkjøttet trekker seg tilbake og blottlegger de sensitive tannrøttene, blir selv vanlige aktiviteter uutholdelige på grunn av det konstante ubehaget.
Har du lagt merke til at tannkjøttet trekker seg bort fra tennene dine?
Har du kjent den verkende smerten når du drikker varm kaffe eller kalde drikker fordi røttene er eksponert?
Ser tennene dine lengre ut enn før fordi tannkjøttet trekker seg tilbake?
Kan du ikke spise eller drikke noe kaldt fordi røttene sender lynende smerter gjennom munnen?
Skammer du deg over smilet ditt fordi tilbaketrukket tannkjøtt har endret utseendet på tennene dine?
Hvis du svarte "JA" på noen av disse spørsmålene, lider du av gingival tilbakegang – et vanlig munnproblem der tannkjøttvev gradvis går tapt og eksponerer tannrøttene.

Den skjulte faren bak tannkjøtt-tilbakegang
Tilbaketrukket tannkjøtt er mer enn bare et kosmetisk problem – det gjør tennene dine sårbare for hull, infeksjoner og til og med tanntap hvis det ikke behandles.
Når tannkjøttet trekker seg tilbake, dannes det "lommer" langs tannkjøttkanten der bakterier samler seg, og dette gjør problemet verre over tid.

Det tilfeldige funnet som endret alt
Mens hun forsket på løsninger for pasienter med alvorlig tannkjøttsykdom, gjorde dr. Haughland et banebrytende funn som tannlegekonsernene ikke ønsket skulle offentliggjøres.
"Jeg behandlet pasienter som ikke hadde råd til dyre tannkjøtt-transplantater som koster over kr 35 000 per tann," forklarer dr. Haughland."Ved en tilfeldighet oppdaget jeg en unik kombinasjon av naturlige forbindelser som utløste noe bemerkelsesverdig – faktisk regenerasjon av tannkjøtt."
Da dr. Haughland presenterte funnet for kolleger, var mange skeptiske."De sa at tannkjøttvev ikke kunne vokse tilbake naturlig. Men så viste jeg dem de kliniske bildene av pasientene mine. Resultatene var ubestridelige."
I løpet av få måneder utviklet dr. Haughland formelen ferdig, og skapte det som nå kalles Teeth Repair Gel den første ikke-kirurgiske løsningen som faktisk reverserer tannkjøtt-tilbakegang, i stedet for bare å behandle symptomene.
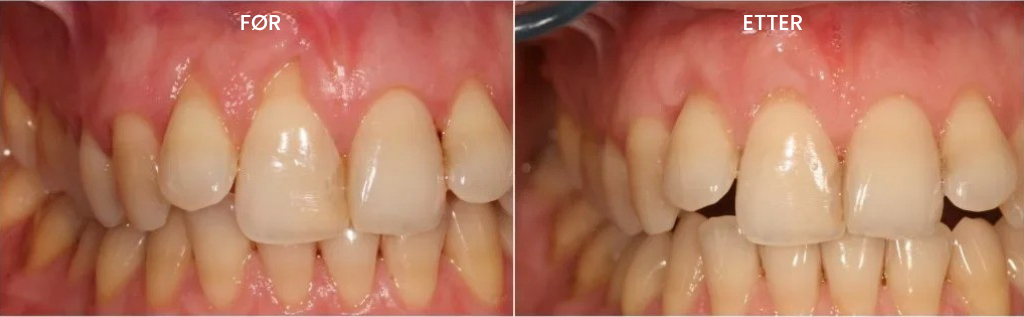
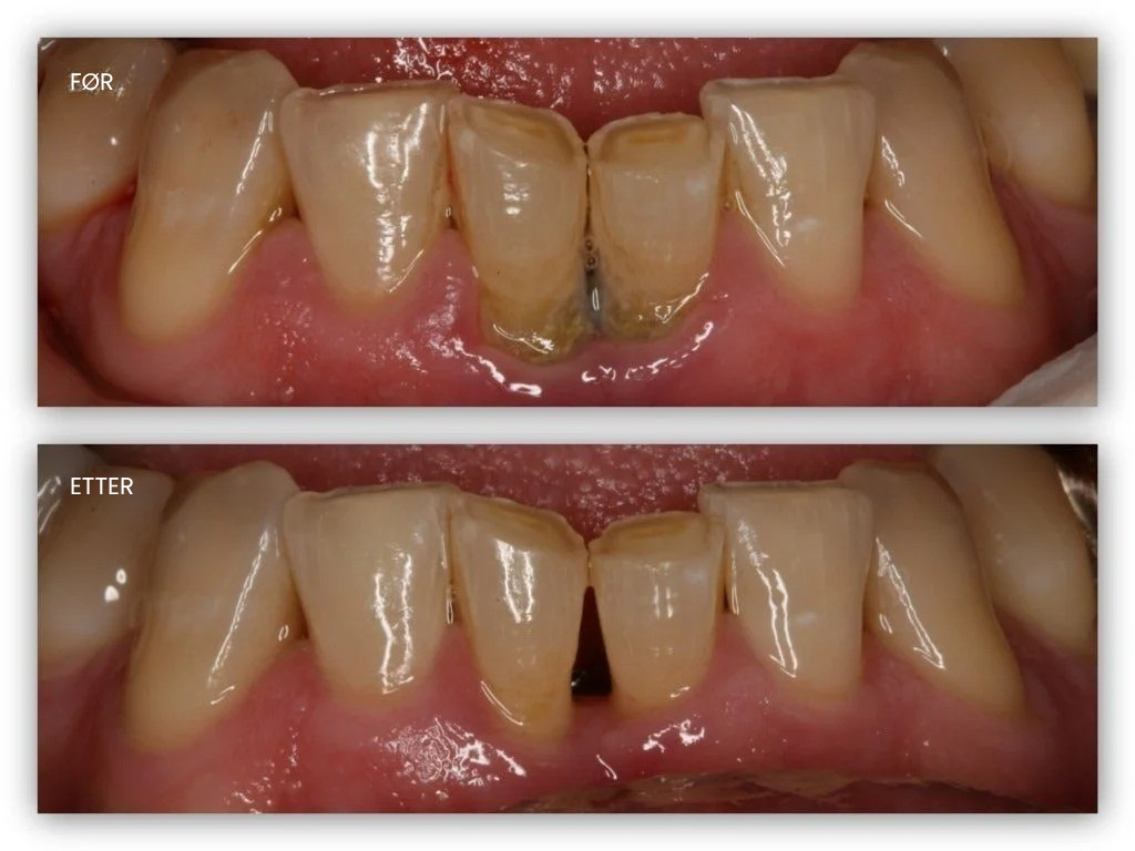
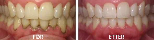
Hvordan Teeth Repair Gel STOPPER tannkjøtt-tilbakegang
Teeth Repair Gel danner et tynt beskyttende lag over tilbaketrukket tannkjøtt og eksponerte røtter. De aktive partiklene trenger dypt inn i tannkjøttvevet, nærer cellene og gir de essensielle "byggesteinene" som trengs for sunn vekst akkurat der tilbakegangen har oppstått.
De aktive ingrediensene erstatter skadede celler med lignende byggesteiner og utløser regenerasjon av nytt, friskt vev som dekker de smertefulle eksponerte røttene.
Dette gjør at du kan:
- Stoppe tannkjøtt-tilbakegang i alle stadier – raskt og effektivt
- Gjenopprette helsen i tannkjøttet
- Styrke festet mellom tann og tannkjøtt
- Redusere sensitivitet fra eksponerte røtter
- Forhindre videre tilbakegang som fører til tanntap

Den sanne kraften i Teeth Repair Gel er regelmessig bruk
I motsetning til medisiner kroppen din blir avhengig av, er Teeth Repair Gel 100 % NATURLIG, og hjelper gradvis å bygge opp tannkjøttet, beskytte eksponerte røtter og gjenopprette tannkjøttlinjen til en sunnere posisjon.
Hva gjør Teeth Repair Gel så spesielt for behandling av tannkjøtt-tilbakegang?
Teeth Repair Gel er et naturlig alternativ til dyre behandlinger (som tannkjøtt-transplantater til over kr 35 000 per tann og kirurgi for reduksjon av tannkjøttlommer) og reseptbelagte produkter.
Det hjelper deg raskt og smertefritt å gjenoppbygge tannkjøttet, dekke eksponerte røtter og eliminere sensitivitet!
Denne gelen har vunnet flere internasjonale priser, inkludert Årets 2025 Pris for Fremragende Innovasjon innen Tannhelse, og verdsettes av tannleger som en effektiv behandling som STOPPER og REVERSERER tannkjøtt-tilbakegang – med synlige resultater etter bare ÉN UKES bruk!
Vår 5-stjerners formel inneholder kraftige ingredienser utviklet spesielt for å bekjempe tannkjøtt-tilbakegang. De trenger dypt inn i vevet, nærer cellene og leverer de nødvendige byggesteinene for regenerasjon.
Allerede etter din første uke med Teeth Repair Gel vil du forstå hvorfor kundene våre kaller det “livsforandrende”.
Føl det virke på MINUTTER – ikke måneder
✅ UMIDDELBAR LINDRING – Innen 5–10 minutter vil du kjenne betydelig lettelse fra sensitiviteten. På bare noen dager merker du at tannkjøttet begynner å feste seg igjen. Med jevnlig bruk vil du se tannkjøttlinjen gradvis komme tilbake til en sunnere posisjon.
✅ 100 % MEDISINFRI – Du kan nå regenerere tannkjøtt uten dyre transplantater, smertefulle restitusjonsperioder og høye tannlegeregninger. Støttet av 100 vitenskapelige studier.
✅ FUNGERER FOR ALLE ÅRSAKER – Testet, anbefalt og brukt av hundrevis av tannleger, enten tilbakegangen skyldes for hard børsting, periodontitt, genetikk, hormoner, tannpressing eller feilbitt.
✅ INGEN RESEPT NØDVENDIG – Inneholder bare naturlige og helt trygge ingredienser. Du kan bestille i dag uten resept og starte regenerasjonen med en gang.
✅ 90 DAGERS PENGENE-TILBAKE GARANTI – Hvis du ikke ser forbedring, kan du returnere produktet enkelt – uten spørsmål.
Bør du kjøpe Teeth Repair Gel mot tannkjøtt-tilbakegang?
TOTAL VURDERING
4.9/5

Stopper og reverserer tilbakegang
Eliminerer sensitivitet
Regenererer skadet vev
Forhindrer videre tilbakegang
ABSOLUTT 100 % JA!
Teeth Repair Gel anbefales spesielt av tannleger for å gjenopprette tannkjøttet, bygge opp nytt vev og beskytte eksponerte røtter – uansett årsak.
Profesjonelle skuespillere, sangere og andre kjendiser bruker Teeth Repair Gel for å forebygge og behandle tannkjøtt-tilbakegang uten dyre kirurgiske inngrep.
Og nå kan DU også bruke denne utrolige teknologien hjemme!
⚠️ BEGRENSET LAGER: Bare 23 stk igjen⚠️
Siste lagerstatus: 7 minutter siden
Du trenger ikke å leve med tilbaketrukket tannkjøtt og blottlagte røtter eller bruke tusenvis av kroner på tannlegebesøk for tannkjøtttransplantasjoner. Er du klar til å gjenopprette tilbaketrukket tannkjøtt og endelig få tannkjøttkanten tilbake til en sunn posisjon?
Nå som du kjenner til denne geniale løsningen spesielt for behandling av tilbaketrukket tannkjøtt, kan du få tak i den slik:
Trinn 1:
Bestill original Teeth Repair Gel fra den offisielle nettsiden ved å klikke her
Step 2:
Påfør daglig på tilbaketrukket tannkjøtt og GLEM hvordan tilbaketrukket tannkjøtt, blottlagte røtter og sensitive tenner føles!
Anbefalt:

4,9 | 9 897 Anmeldelser
Teeth Repair Gel

Stopper og reverserer tilbakegang

Eliminerer sensitivitet

Regenererer skadet vev

Forhindrer videre tilbakegang

Kommentarer

Wilma Lund
Utrolig!!! Denne gelen reddet meg og tannkjøttet mitt etter 12 års smerter.

Doris Johansen
Jeg kjøpte til full pris og nå er det 50 % rabatt? Urettferdig! Men verdt hver krone – tannlegen min ble sjokkert!

Sverre Vik
Hvor lang tid tar frakten? Tannlegen min har planlagt operasjon neste måned, men jeg vil prøve dette først.

Marit Thorsen
Sverre , jeg fikk min etter én uke. Avlys operasjonen – dette fungerer bedre!
Anne Bråthen
Har brukt gelen i 4 uker, helt fantastisk. Tennene mine gjør ikke lenger vondt av iskrem!

Emma Lunde
Etter 2 uker så jeg allerede resultater. Mannen min sier pusten min er bedre også.



Anders Evensen
Jeg ble kvitt blødende tannkjøtt og dårlig ånde på bare 2 uker! Tannlegen ville ha kr 45 000 for behandling!

Edit Holm
For meg tok det 10 dager.

Terese Johansen
Takk for tipset. Jeg har slitt med tannkjøttet lenge. Jeg tror dette kan løse problemet mitt.

Paul Rønning
Hei alle sammen! Min kone kjøpte gelen, og jeg er imponert. Smilet mitt har aldri vært sunnere.

Aina Ruud
Jeg har bestilt og gleder meg til pakken. :)

Birgit Viken
Dette er ikke nytt – min bror ble kvitt tannkjøtt-tilbakegang med dette allerede i fjor.

Harry Rekstad
Folk i Norge har brukt denne gelen i 5 år! Jeg har hørt det fra mange kolleger.

Birgitta Pedersen
Hei. Har brukt gelen i 10 dager nå … Jeg er målløs!

Anita Torgersen
Bare 5 dager og jeg ser resultater. Jeg er kjempefornøyd!

Klara Haugen
Kjøpte den og liker den! Til denne prisen er det et kupp.

Amanda Helle
Etter 2 ukers bruk ser jeg tydelige resultater. Tusen takk!



Tone Eriksen
Takk for en ærlig anmeldelse. Jeg tør ikke sprøyter, så dette passer perfekt.

Kari Hartviksen
Jeg ble kvitt blødende tannkjøtt og dårlig ånde på 2 uker. Utrolig!



Amanda Martinsen
Så takknemlig! Denne metoden reddet tannkjøttet mitt. Synlige resultater på bare én uke.

Daniel Klarsen
Min kone kjøpte gelen – og jeg er sjokkert over resultatet. Nå bruker vi den daglig.



Sandra Jørgensen
Akkurat det jeg trengte! Nå blir alle på jobben misunnelige, hehe.

Ansvarsfraskrivelse: Uttalelsene på dette nettstedet er ikke evaluert av helsemyndigheter. Produktene som selges her er ikke ment å diagnostisere, behandle, kurere eller forebygge sykdom. Informasjonen erstatter ikke konsultasjon hos lege eller tannlege og er ikke ment som personlig medisinsk rådgivning.
© Norvixa. Alle rettigheter reservert.