Utrolig. Et revolusjonerende middel som stopper tilbaketrekning av tannkjøtt innen den første uken etter bruk
Presentert av Maja Haugland, tannlege


OPPSUMMERING: Eksperter anslår at én av to personer i verden lider av tilbaketrekning av tannkjøtt... Denne geniale oppfinnelsen kan være deres naturlige måte å behandle og styrke tannkjøttet på nesten umiddelbart, stoppe tilbaketrekning, forhindre tannløsning og andre alvorlige tannproblemer... Bestill Teeth Repair Gel med 50 % rabatt og gratis frakt mens det fortsatt er på lager...
Hvis du noen gang har lagt merke til at tennene dine ser lengre ut enn før, eller har opplevd uventet følsomhet for varmt og kaldt, vet du hvor vanskelig det er å gjøre... vel, nesten alt.
Du føler konstant smerte fra utsatte tannrøtter, du kan ikke nyte mat, du nekter å spise favorittmaten din fordi det bare gjør tannkjøtttilstanden din verre... Bokstavelig talt noen av de verste følelsene i verden.
Det finnes ikke noe som heter "normalt"
Hvis tannkjøttet trekker seg tilbake og eksponerer sensitive tannrøtter, ser tennene dine lengre ut enn før, og selv normale aktiviteter kan bli slitsomme eller til og med uutholdelige på grunn av den konstante ubehageligheten fra tannkjøtttilbakegang.
Har du noen gang lagt merke til at tannkjøttet trekker seg tilbake fra tennene? Opplevd en gnagende smerte når du drikker varm kaffe eller kalde drikker fordi tannrøttene er eksponert? Har du lagt merke til at tennene dine ser lengre ut enn før fordi tannkjøttet trekker seg tilbake?
Hva med tannrøttene dine? Kan du ikke spise eller drikke noe som er for kaldt fordi de eksponerte røttene umiddelbart blir gjennomboret av en skjærende smerte? Er du flau over smilet ditt fordi tilbaketrukket tannkjøtt har endret utseendet på tennene dine?
Hvis du har svart "ja" på noen av disse spørsmålene, har du tilbaketrukket tannkjøtt, også kjent som gingival resesjon, et vanlig problem i munnhulen som er preget av gradvis tap av tannkjøttvev som eksponerer tannrøttene.
Tilbaketrukket tannkjøtt oppstår når tannkjøttvevet trekker seg tilbake eller slites bort fra tennene, slik at de følsomme tannrøttene blir blottlagt. Denne tilstanden er mer enn bare et kosmetisk problem, den gjør tennene utsatt for karies, infeksjon og til og med tannløsning hvis den ikke behandles. Når tannkjøttet trekker seg tilbake, dannes det "lommer" eller mellomrom ved tannkjøttkanten hvor bakterier samler seg, noe som gjør at tilbaketrekningen forverres over tid.

Hvordan hjelper Teeth Repair Gel med å redde tilbaketrukket tannkjøtt?
Slik virker Teeth Repair Gel:
Teeth Repair Gel dekker det tilbaketrukne tannkjøttet og de blottlagte tannrøttene med et tynt, beskyttende lag hvis aktive partikler trenger direkte inn i de dype lagene av det tilbaketrukne tannkjøttet, nærer cellene og gir de "byggesteinene" som er nødvendige for vekst og reparasjon av sunt tannkjøttvev der tilbaketrekningen har skjedd.
De aktive komponentene i gelen erstatter de skadede cellene i tannkjøttvevet med lignende "byggesteiner", som utløser regenerering av nytt, sunt vev som dekker de eksponerte røttene som forårsaker følsomhet og smerte.
Dette gjør at du raskt og effektivt kan stoppe tannkjøtttilbaketrekning i alle stadier, gjenopprette helsen til tilbaketrukket tannkjøtt, styrke tennene til tannkjøttet, redusere følsomhet fra eksponerte røtter og forhindre videre tannkjøtttilbaketrekning som fører til tannløsning.

Men den virkelige kraften i Teeth Repair Gel ligger i regelmessig bruk.
I motsetning til medisiner som kroppen din kan bli avhengig av, er Teeth Repair Gel 100 % naturlig og hjelper deg over tid med å gjenoppbygge tilbaketrukket tannkjøttvev, beskytte eksponerte tannrøtter forårsaket av tilbaketrekning og gjenopprette tannkjøttlinjen til en sunnere posisjon!
Hva gjør Teeth Repair Gel så spesiell for behandling av tilbaketrukket tannkjøtt?
Teeth Repair Gel er et naturlig alternativ som erstatter dyre tannbehandlinger for tilbaketrukket tannkjøtt (som tannkjøtttransplantasjon og lommeoperasjoner), samt reseptbelagte produkter, da det hjelper til å raskt og smertefritt gjenopprette og styrke tilbaketrukket tannkjøtt, dekker eksponerte tannrøtter og eliminerer følsomhet!

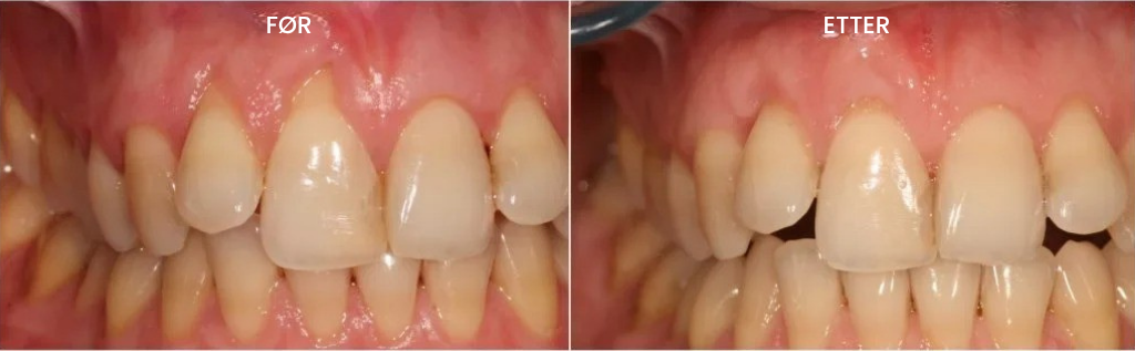
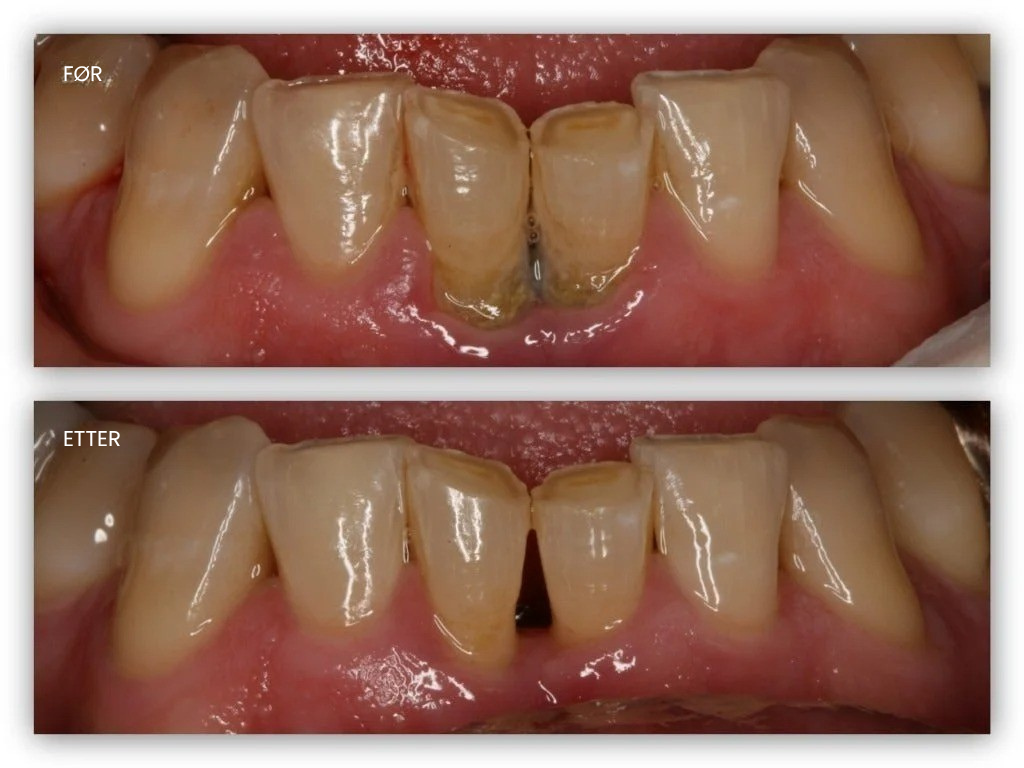
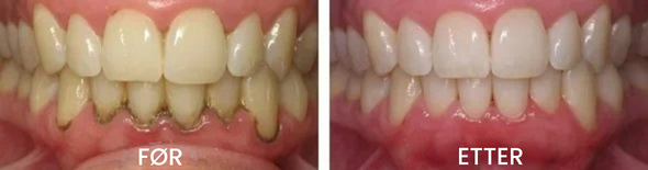
Teeth Repair Gel har vunnet en rekke internasjonale priser og er høyt ansett av tannleger som en gunstig behandling som hjelper til å stoppe og reversere tilbaketrukket tannkjøtt, styrke tannkjøttfestet og beskytte eksponerte tannrøtter, med synlig forbedring av tannkjøttet allerede etter en ukes bruk!
Vår 5-stjerners formel inneholder kraftige ingredienser som er spesielt utviklet for å bekjempe tilbaketrukket tannkjøtt, trenge direkte inn i de dype lagene av tannkjøttvevet, gi næring til cellene og tilføre byggesteinene som trengs for regenerering av tannkjøttet.
Etter den første uken med bruk av Teeth Repair Gel på tilbaketrukket tannkjøtt, vil du forstå hvorfor våre kunder med tilbaketrukket tannkjøtt beskriver det som "livsendrende".
✅ Føl at det virker på tilbaketrukket tannkjøtt umiddelbart – Allerede etter 5–10 minutter vil du merke en betydelig lindring av følsomhet forårsaket av eksponerte tannrøtter, og etter noen dager vil du merke at det tilbaketrukne tannkjøttvevet begynner å gjenoppbygges og feste seg til tennene igjen. Ved regelmessig bruk vil du se at tannkjøttkanten gradvis kommer tilbake til en sunnere posisjon, og beskytter tennene dine mot farene ved tilbaketrukket tannkjøtt.
✅ 100 % medikamentfritt, trygt og effektivt mot tilbaketrukket tannkjøtt – Nå kan du regenerere tilbaketrukket tannkjøttvev uten dyre tannkjøtttransplantasjoner, smertefulle restitusjonsperioder og kostbare tannlegeregninger. Vitenskapen bak behandling av tilbaketrukket tannkjøtt er støttet av 100 studier, som sikrer at Teeth Repair Gel er svært effektivt spesielt mot tilbaketrukket tannkjøtt.
✅ Anbefalt for alle årsaker til tilbaketrukket tannkjøtt – Testet, anbefalt og brukt av hundrevis av tannleger som spesialiserer seg på tilbaketrukket tannkjøtt, enten det er forårsaket av aggressiv tannpuss, periodontal sykdom, genetikk, hormonelle endringer, tannsliping eller feilstillede tenner. Teeth Repair Gel virker på alle typer tilbaketrukket tannkjøtt.
✅ Ingen resept nødvendig for behandling av tilbaketrukket tannkjøtt- Teeth Repair Gel inneholder kun naturlige og helt sikre ingredienser som er spesielt utvalgt for å bekjempe tilbaketrukket tannkjøtt, og fordi den er 100 % fri for medisiner, kan du bestille den i dag uten resept for å begynne å gjenoppbygge tilbaketrukket tannkjøtt umiddelbart.
✅ 90 dagers tilfredshet og pengene-tilbake-garanti – Hvis tannkjøtttilbaketrekningen din av en eller annen grunn ikke viser forbedring med Teeth Repair Gel, kan du enkelt returnere den uten problemer!
Konklusjon: bør du kjøpe Teeth Repair Gel for tannkjøtttilbaketrekning?
Samlet vurdering
4.9/5

Stopper og reverserer tilbaketrukket tannkjøtt
Lindrer følsomhet fra eksponerte tannrøtter
Regenerering av tilbaketrukket tannkjøttvev
Forebygger videre tilbaketrekning av tannkjøttet
Absolutt 100 prosent!
Teeth Repair Gel er sterkt anbefalt av tannleger spesielt for å gjenopprette tilbaketrukket tannkjøtt, gjenoppbygge tannkjøttvev og beskytte eksponerte tannrøtter forårsaket av tilbaketrekning av tannkjøttet, uavhengig av hva som forårsaket tilbaketrekningen.
Teeth Repair Gel brukes også av profesjonelle skuespillere, sangere og andre kjendiser som ønsker å forebygge og behandle tilbaketrukket tannkjøtt uten dyre kirurgiske inngrep.
Og nå kan også du bruke denne utrolige teknologien til å regenerere tilbaketrukket tannkjøttvev og gjenopprette tannkjøttlinjen hjemme!
Hvordan får jeg tak i Teeth Repair Gel?
Du trenger ikke å leve med tilbaketrukket tannkjøtt, eksponerte tannrøtter og bruke tusenvis på tannlegebesøk for tannkjøtttransplantasjon. Er du klar til å reversere tannkjøtttilbaketrekningen og endelig gjenopprette tannkjøttlinjen til en sunn posisjon?
Nå som du vet om denne geniale løsningen som er spesielt utviklet for behandling av tilbaketrukket tannkjøtt, er her de enkle trinnene for å få tak i din:
Trinn 1: Vi anbefaler at du bestiller en original Teeth Repair Gel fra den offisielle nettsiden ved å klikke her.
Trinn 2: Påfør den daglig på det tilbaketrukne tannkjøttet og glem hvordan tannkjøtttilbakegang, synlige røtter og tannfølsomhet føles!
Anbefalt:

4,9 | 9 897 Anmeldelser
Teeth Repair Gel

Stopper og reverserer tilbaketrukket tannkjøtt

Lindrer følsomhet fra synlige røtter

Regenerering av tilbaketrukket tannkjøttvev

Forebygger videre tannkjøtttilbakegang

Kommentar

Wilma Devik
Hei, Alicia. Super!!! Takk for denne artikkelen, den minner meg om min historie... Og denne gelen hjalp meg også. Den reddet virkelig meg og tannkjøttet mitt.

Doris Johansen
Jeg kjøpte min til full pris, og nå er den 50 % rabatt? Det er så urettferdig!

Skyler Vilhelmsen
Hvor lang tid tar leveransen?

Marie Tangen
Skyler, jeg fikk min etter en uke.
Anna Brun
Jeg hentet pakken på postkontoret i går. Alt er i orden. Jeg skal begynne å bruke den. Gleder meg til å se resultatene :)

Emma Davidsen
Jeg har brukt denne gelen i omtrent 4 uker og er bare kjempeglad for resultatet, bildet er det beste beviset på forandringen.



Alf Eivindsen
Har du kjøpt en, hvor lang tid tar det å få den?

Edith Wilhelmsen
For meg tok det 5 virkedager.

Debra Johansen
Takk for tipset. Jeg var akkurat i ferd med å bestille den. Konstant kaffedrikking, røyking og mange andre faktorer, selv så uunngåelige som alder, har en veldig negativ innvirkning på tannkjøttets styrke ... Jeg har slitt med tilbaketrukket tannkjøtt i lang tid, jeg er sikker på at jeg denne gangen vil kunne bekjempe problemet mitt!

Paula Remingstad
Tannlegen min anbefalte denne gelen til meg :)

Agnes Robertsen
Jeg har bestilt, nå gleder jeg meg til pakken :)

Barbara Vangen
Dette er virkelig gammelt nytt, gelen har vært populær i lang tid. Broren min overvant tilbaketrukket tannkjøtt veldig raskt og vellykket med hjelp av denne gelen for et år siden.

Harry Rettvik
Folk i Storbritannia har brukt denne gelen i 5 år! Jeg har hørt om den fra mange kolleger.

Birgit Prestgaard
Hei. Jeg har brukt denne gelen i 10 dager nå ... Jeg er bare målløs! Tusen takk!

Anna Thomassen
Det har bare gått 5 dager, og jeg har allerede resultater! Jeg er veldig fornøyd!

Klara Robstad
Jeg kjøpte den og likte den! For en slik pris er det bare en gave!

Amanda Hall
Etter 2 ukers bruk har jeg allerede sett synlige resultater. Tusen takk :)



Dana Edvardsen
Takk for den fine anmeldelsen og den oppriktige historien. Jeg har hørt fra folk jeg kjenner om tannkjøttinjeksjoner, men det er så smertefullt og dyrt at jeg er livredd... Så jeg tror det er verdt å bestille denne gelen med en gang for å løse problemet mitt og ikke lide.

Katharina Håvik
Gratulerer til meg også, jeg ble kvitt blødende tannkjøtt og dårlig ånde på bare 2 uker! Jeg er sjokkert :)



Amanda Martinsen
Jeg er takknemlig for denne metoden!!! Den reddet tannkjøttet mitt. Jeg prøvde mange metoder, og bare denne gelen reddet meg. Allerede etter en ukes bruk så jeg synlige og utmerkede resultater. Jeg anbefaler den til alle!

Daniel Klartveit
Hei alle sammen! Min kone kjøpte denne gelen, og jeg er bare begeistret over resultatet, mitt smil har aldri vært så sunt og strålende. Vi bruker nå denne gelen hver dag for å opprettholde sunt tannkjøtt og munnhygiene generelt.



Samantha Jakobsen
Det var akkurat det jeg trengte! Nå kommer alle på jobben til å bli grønne av misunnelse, hehehe.

Uttalelsene på dette nettstedet er ikke evaluert av FDA (U.K. Food & Drug Administration). Produktene som selges på dette nettstedet er ikke ment for å diagnostisere, behandle, kurere eller forebygge noen sykdom. Informasjonen på dette nettstedet eller fra dette selskapet er ikke en erstatning for en personlig konsultasjon med legen din, og bør ikke tolkes som individuell medisinsk rådgivning...
© Norvixa Alle rettigheter forbeholdt.